Zastanawiasz się, czy ból i deformacja w okolicy dużego palca u stopy to początek haluksów? Ten artykuł powstał z myślą o Tobie znajdziesz w nim praktyczne wskazówki i proste testy, które możesz wykonać w domu, aby wstępnie ocenić stan swoich stóp. Moim celem jest dostarczenie Ci rzetelnej wiedzy, która pomoże zrozumieć problem i podjąć świadome kroki w kierunku zdrowia.
Jak sprawdzić, czy masz haluksy? Poznaj objawy i wykonaj proste testy w domu
- Haluksy to deformacja stawu palucha, objawiająca się jego odchyleniem i wystającą "kostką" często bolesną.
- Pierwsze sygnały to ból, dyskomfort, zaczerwienienie oraz widoczna zmiana kształtu stopy.
- Możesz wykonać proste testy w domu: wizualny, ołówkowy oraz ocenić ból i zużycie obuwia.
- W przypadku podejrzenia haluksów kluczowa jest wizyta u ortopedy, który zleci badanie RTG stóp w pozycji obciążonej.
- Czynniki ryzyka obejmują genetykę, płeć żeńską, noszenie niewłaściwego obuwia oraz płaskostopie poprzeczne.
Czy ten problem dotyczy właśnie ciebie? Pierwsze sygnały, których nie wolno ignorować
Haluksy, czyli paluch koślawy (łac. *hallux valgus*), to jedna z najczęstszych deformacji stóp, z którą spotykam się w mojej praktyce. Nie jest to jedynie defekt kosmetyczny, jak wielu myśli, ale postępująca wada stawu śródstopno-paliczkowego palucha, która z czasem może prowadzić do poważnych dolegliwości bólowych i problemów z poruszaniem się. Zrozumienie pierwszych sygnałów jest kluczowe, aby odpowiednio wcześnie zareagować. Najbardziej widocznym objawem jest wizualna deformacja: duży palec zaczyna odchylać się w stronę pozostałych palców, a u podstawy, po wewnętrznej stronie stopy, pojawia się wystająca "kostka". To nic innego jak głowa pierwszej kości śródstopia, która ulega przesunięciu. Zazwyczaj towarzyszy temu ból, który nasila się podczas chodzenia, szczególnie w ciasnym lub niewygodnym obuwiu. Oprócz bólu, często obserwuję u pacjentów obrzęk i stan zapalny w okolicy zniekształconego stawu. Skóra może być zaczerwieniona, cieplejsza w dotyku, a nawet pojawić się pęcherze czy modzele z powodu ciągłego tarcia o but. Z czasem, jeśli deformacja postępuje, może dojść do ograniczenia ruchomości w stawie palucha, co utrudnia normalne funkcjonowanie i prowadzi do zmiany biomechaniki chodu. Warto zwrócić uwagę na te sygnały i nie bagatelizować ich, ponieważ wczesna interwencja może spowolnić rozwój haluksów.Domowy test na haluksy w 3 prostych krokach: sprawdź swoje stopy bez wychodzenia z domu
Zanim zdecydujesz się na wizytę u specjalisty, możesz samodzielnie wykonać kilka prostych testów, które pomogą Ci wstępnie ocenić, czy problem haluksów może Cię dotyczyć. Pamiętaj, że to jedynie wstępna ocena, a profesjonalna diagnoza zawsze wymaga konsultacji z lekarzem.- Test wizualny: Stań prosto na płaskiej powierzchni, najlepiej boso. Zwróć uwagę na ustawienie swoich paluchów. Czy są skierowane prosto do przodu, czy może odchylają się w kierunku drugiego palca? Porównaj obie stopy często deformacja jest bardziej zaawansowana w jednej z nich. Poszukaj widocznego zgrubienia, czyli tej "kostki", u podstawy dużego palca po wewnętrznej stronie stopy.
- Test ołówka: Weź ołówek lub prostą linijkę. Połóż go wzdłuż wewnętrznej krawędzi stopy, tak aby dotykał pięty i podstawy dużego palca. W zdrowej stopie ołówek powinien przylegać do boku stopy i palucha. Jeśli paluch odchyla się na zewnątrz od linii ołówka, tworząc wyraźną przerwę, może to wskazywać na obecność haluksa. Im większa przerwa, tym większe prawdopodobieństwo deformacji.
- Analiza bólu i obuwia: Delikatnie uciśnij wystającą "kostkę" u podstawy palucha. Czy odczuwasz ból lub dyskomfort? Ból palpacyjny może świadczyć o stanie zapalnym. Następnie przyjrzyj się swoim butom. Czy podeszwy są zużyte nierównomiernie, szczególnie po wewnętrznej stronie przodostopia? Czy w butach, które nosisz najczęściej, w okolicy podstawy dużego palca pojawiają się przetarcia lub miejsca ucisku? To wszystko może być sygnałem nieprawidłowego obciążania stopy i rozwijającej się deformacji.
Kiedy domowe sposoby to za mało? Profesjonalna diagnoza u specjalisty
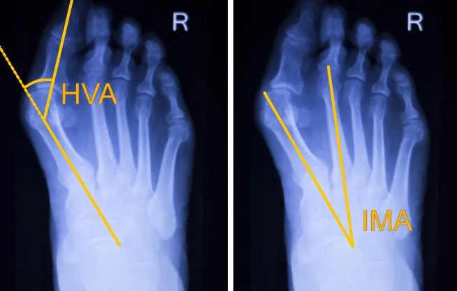
Jeśli po wykonaniu domowych testów masz podejrzenia, że problem haluksów może Cię dotyczyć, nie zwlekaj z wizytą u specjalisty. Moim zdaniem, im wcześniej postawiona zostanie profesjonalna diagnoza, tym większe szanse na skuteczne wdrożenie leczenia i uniknięcie dalszego postępu deformacji. Pierwszym krokiem może być wizyta u lekarza pierwszego kontaktu, który oceni sytuację i w razie potrzeby skieruje Cię do ortopedy. To właśnie ortopeda jest specjalistą od schorzeń układu ruchu, w tym deformacji stóp. Podczas wizyty lekarz przeprowadzi szczegółowy wywiad medyczny, pytając o objawy, ich nasilenie, historię chorób w rodzinie oraz rodzaj noszonego obuwia. Następnie wykonane zostanie badanie fizykalne. Lekarz dokładnie obejrzy Twoje stopy, oceni stopień deformacji, bolesność w okolicy stawu, a także zakres ruchu w paluchu. Kluczowym elementem diagnostyki haluksów jest jednak badanie RTG stóp. Co ważne, zdjęcie rentgenowskie powinno być wykonane w pozycji obciążonej, czyli na stojąco. Dzięki temu można precyzyjnie ocenić kąt koślawości palucha (HV *hallux valgus angle*) oraz kąt międzypalcowy (IM *intermetatarsal angle*), które są podstawą do określenia stopnia zaawansowania wady i zaplanowania dalszego leczenia. Czasem, choć rzadziej, stosuje się również podoskopię lub badanie na platformie baropodometrycznej, aby ocenić rozkład nacisków na stopie podczas stania i chodu.Zrozumieć wroga: co tak naprawdę dzieje się w twojej stopie?
Haluks to nie tylko krzywy palec, ale złożona deformacja, która wynika z zaburzeń biomechaniki stopy. W uproszczeniu, dochodzi do przesunięcia pierwszej kości śródstopia do wewnątrz, a palucha do zewnątrz, co prowadzi do charakterystycznego uwypuklenia stawu. Ten proces często jest powiązany z inną powszechną dolegliwością płaskostopiem poprzecznym. Płaskostopie poprzeczne to stan, w którym łuk poprzeczny stopy ulega spłaszczeniu, a głowy kości śródstopia rozchodzą się na boki. W efekcie przodostopie poszerza się, a obciążenie przenosi się na głowę drugiej i trzeciej kości śródstopia, zamiast być równomiernie rozłożone. To osłabienie struktur stopy sprzyja odchyleniu palucha i powstawaniu haluksów, tworząc błędne koło. Na podstawie wyników badania RTG, a konkretnie kąta koślawości palucha (HV), możemy określić stopień zaawansowania choroby, co jest niezwykle ważne przy podejmowaniu decyzji o leczeniu. * Stopień łagodny: Kąt koślawości palucha wynosi poniżej 20 stopni. Deformacja jest niewielka, a objawy często subtelne. * Stopień umiarkowany: Kąt mieści się w przedziale 20-40 stopni. Deformacja jest już wyraźnie widoczna, a dolegliwości bólowe mogą być bardziej dokuczliwe. * Stopień zaawansowany: Kąt przekracza 40 stopni. To już poważna deformacja, często z towarzyszącymi jej innymi problemami, takimi jak palce młotkowate czy znaczne trudności w doborze obuwia i poruszaniu się.Kto jest najbardziej narażony? Główne przyczyny i czynniki ryzyka
Z mojego doświadczenia wynika, że haluksy rzadko są wynikiem jednej, izolowanej przyczyny. Zazwyczaj jest to splot kilku czynników, które wspólnie przyczyniają się do rozwoju deformacji. Oto te, które obserwuję najczęściej: * Genetyka: To jeden z najważniejszych czynników. Jeśli Twoi rodzice lub dziadkowie mieli haluksy, istnieje duże prawdopodobieństwo, że i Ty możesz być na nie narażony. Szacuje się, że dziedziczność odgrywa rolę nawet w 70% przypadków. * Płeć: Kobiety chorują na haluksy znacznie częściej niż mężczyźni. Wynika to z różnic w budowie anatomicznej (szersza miednica, większa wiotkość więzadeł) oraz tendencji do noszenia niewłaściwego obuwia. * Obuwie: Wysokie obcasy i buty z wąskimi noskami to prawdziwi wrogowie stóp. Wymuszają one nienaturalne ułożenie stopy, przeciążają przodostopie i ściskają palce, co w znacznym stopniu przyczynia się do rozwoju haluksów. * Płaskostopie poprzeczne: Jak już wspomniałem, osłabienie mięśni i więzadeł utrzymujących łuk poprzeczny stopy jest silnie związane z powstawaniem palucha koślawego. * Nadwaga i otyłość: Dodatkowe kilogramy to większe obciążenie dla stóp, co może przyspieszać rozwój deformacji. * Stojący tryb życia: Długotrwałe obciążanie stóp w pozycji stojącej, np. w pracy, również zwiększa ryzyko. * Choroby reumatoidalne: Niektóre schorzenia, takie jak reumatoidalne zapalenie stawów, mogą prowadzić do osłabienia struktur stawowych i sprzyjać powstawaniu deformacji."Myślałem, że to haluks" z czym można pomylić paluch koślawy?
Czasami objawy, które wydają się wskazywać na haluksy, mogą być w rzeczywistości symptomami innych schorzeń stóp. Właśnie dlatego tak ważna jest profesjonalna diagnoza. Chciałbym zwrócić Twoją uwagę na kilka dolegliwości, które często bywają mylone z paluchem koślawym:Dna moczanowa (podagra): To choroba metaboliczna, która objawia się nagłymi, bardzo intensywnymi atakami bólu, zaczerwienieniem i obrzękiem stawu, najczęściej właśnie stawu palucha. Ból jest często tak silny, że nawet dotyk prześcieradła jest nie do zniesienia, a ataki pojawiają się nagle, często w nocy. W przeciwieństwie do haluksów, dna moczanowa nie jest pierwotnie deformacją kostną, choć nieleczona może prowadzić do uszkodzeń stawów.
Zwyrodnienia stawów (osteoartroza): Zwyrodnienia mogą dotykać każdego stawu, w tym stawu śródstopno-paliczkowego palucha. Objawiają się bólem, sztywnością, ograniczeniem ruchomości, a także powstawaniem wyrośli kostnych. Różnica polega na tym, że w przypadku haluksów deformacja jest pierwotna, a zwyrodnienia mogą być ich konsekwencją. W czystych zwyrodnieniach bez haluksów, paluch może być sztywny i bolesny, ale niekoniecznie odchylony na zewnątrz.
Inne deformacje przodostopia: Istnieją także inne problemy, takie jak palce młotkowate, palce szponiaste czy metatarsalgia (ból w obrębie głów kości śródstopia), które mogą dawać podobne objawy bólowe i dyskomfort w przedniej części stopy. Czasem występują one równocześnie z haluksami, co dodatkowo komplikuje obraz kliniczny.
Mam diagnozę, co dalej? Zarys możliwości leczenia
Otrzymanie diagnozy haluksów to pierwszy, ważny krok. Następnie wspólnie z ortopedą należy opracować plan leczenia, który będzie dopasowany do stopnia zaawansowania deformacji, Twoich objawów i stylu życia. Generalnie, możliwości leczenia dzielimy na zachowawcze i chirurgiczne. Leczenie zachowawcze: Jest ono stosowane przede wszystkim w początkowych stadiach haluksów lub gdy operacja nie jest wskazana. Moim celem jest wtedy spowolnienie postępu choroby, zmniejszenie bólu i poprawa komfortu życia. Obejmuje ono szereg działań:- Wkładki ortopedyczne: Indywidualnie dobrane wkładki korygujące płaskostopie poprzeczne i wspierające prawidłową biomechanikę stopy.
- Fizjoterapia: Ćwiczenia wzmacniające mięśnie stopy, poprawiające zakres ruchu w stawie palucha i rozciągające skrócone struktury.
- Zmiana obuwia: Kluczowe jest noszenie wygodnych, szerokich butów z niskim obcasem, które nie uciskają palców.
- Aparaty korekcyjne i separatory: Mogą pomóc w utrzymaniu palucha w prawidłowej pozycji, zwłaszcza w nocy.
- Leki przeciwbólowe i przeciwzapalne: Stosowane doraźnie w celu złagodzenia objawów bólowych i stanów zapalnych.
Leczenie chirurgiczne: Kiedy leczenie zachowawcze nie przynosi ulgi, ból jest uporczywy, a deformacja postępuje i znacząco utrudnia codzienne funkcjonowanie, operacja staje się koniecznością. Istnieje wiele technik operacyjnych, a wybór konkretnej metody zależy od stopnia zaawansowania haluksa, współistniejących deformacji i indywidualnych cech pacjenta. Celem operacji jest korekcja ustawienia kości i stawów, co prowadzi do przywrócenia prawidłowej anatomii stopy i eliminacji bólu.
